distRibuteur exclusif des produits Aquolab en france, DOM-COM, belgique et suisse.
Abcès dentaire : Symptômes, Dangers et Traitements d'urgence
L’abcès dentaire est une urgence médicale. Découvrez comment reconnaître les symptômes, les risques de complications et les gestes à adopter immédiatement.
hygiene-precision.com
3/4/20265 min lire


Abcès dentaire : Pourquoi c’est une urgence médicale à ne pas ignorer
Une douleur lancinante, une gencive gonflée, une difficulté à mâcher... Beaucoup d'entre nous ont tendance à repousser la visite chez le dentiste. Pourtant, l’abcès dentaire n’est pas une simple rage de dents : c’est une infection bactérienne sérieuse qui nécessite une intervention rapide et une désinfection profonde pour éviter toute récidive.
Découvrez comment identifier un abcès, les risques encourus et comment les technologies modernes, comme les soins à l’ozone, sont des outils indispensables à la guérison d'un abcès.
Au sommaire de cet article :
1. Qu’est-ce qu’un abcès dentaire exactement ?
Un abcès est une accumulation de pus résultant d'une infection bactérienne. On en distingue deux formes principales :
L'abcès périapical : Part de l'intérieur de la dent (carie profonde) et touche la racine.
L'abcès parodontal : Se développe dans la gencive et l'os de soutien, souvent dû à une maladie gingivale ou un débris logé sous la gencive.
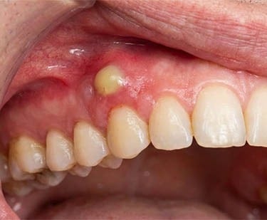
2. Abcès dentaire : Les symptômes qui doivent vous alerter
Douleur pulsatile : Sensation de "battements" dans la mâchoire.
Gonflement : Gencive rouge ou joue enflée (œdème).
Sensibilité thermique : Douleur vive au chaud ou au froid.
Goût et odeur fétides : Signe d'un écoulement de pus.
Signes généraux : Fièvre, fatigue ou ganglions dans le cou.
Le piège : Si la douleur s'arrête brusquement, l'infection n'a pas disparu. Le nerf peut être mort ou l'abcès a percé, mais les bactéries continuent de se propager dans votre organisme.
3. Abcès dentaire et risques de complications
Ignorer un abcès, c'est laisser les bactéries migrer vers des organes vitaux via la circulation sanguine.
4. Abcès dentaire et le jet dentaire Aquolab
Une fois que le dentiste a traité l'abcès (drainage ou dévitalisation), le plus grand défi est d'éliminer 100 % des bactéries résiduelles pour éviter que l'infection ne revienne. C'est ici que les soins à l'ozone interviennent.
Pourquoi utiliser l'ozone après un traitement ?
Le jet dentaire à l’ozone Aquolab est un dispositif d’hygiène bucco-dentaire combinant l’action mécanique d’un hydropulseur et les propriétés désinfectantes de l’ozone, directement produit dans l’appareil et mélangé à l’eau. Cette association permet une action plus complète qu’un jet classique : l’ozone agit comme un agent antibactérien et antifongique. Il réduit la charge microbienne responsable des infections buccales. Dans le cas d’un abcès dentaire, souvent lié à une infection bactérienne localisée, l’utilisation d’un tel dispositif est présentée comme un soutien à l’hygiène quotidienne, visant à limiter la prolifération bactérienne et à améliorer l’état des gencives en complément des soins réalisés par un chirurgien-dentiste. L’ozone est ainsi mis en avant pour son potentiel désinfectant et son rôle dans la prévention des inflammations gingivales, ce qui pourrait contribuer à assainir la cavité buccale autour de la zone infectée.
L'ozone (O₃) est un gaz aux propriétés oxydantes puissantes, capable de détruire les bactéries, virus et champignons en quelques secondes.
Désinfection totale : Contrairement aux liquides, le gaz ozone pénètre dans les micro-canaux de la dent et les poches gingivales inaccessibles.
Accélération de la cicatrisation : L'ozone stimule la microcirculation sanguine et l'oxygénation des tissus, permettant à la gencive de dégonfler beaucoup plus vite.
Soin indolore : L'application est rapide, non invasive et réduit considérablement le besoin d'antibiotiques par voie orale.
il ne remplace pas un drainage, un traitement endodontique ou des antibiotiques si nécessaires.
6. Que faire en cas d'urgence ?
Les bons réflexes
Rendez-vous immédiat : Seul un dentiste peut stopper l'infection.
Froid : Appliquez de la glace sur la joue pour limiter le gonflement.
Rincer : Utilisez de l'eau salée tiède pour un léger effet antiseptique.
À bannir
Ne tentez jamais de percer l'abcès vous-même.
Ne prenez pas d'antibiotiques sans prescription (risque de résistance).
Évitez l'automédication aux anti-inflammatoires (type Ibuprofène) sans avis médical, car ils peuvent parfois masquer une aggravation de l'infection.
Conclusion : Agir vite et avec précision
L'abcès dentaire n'est jamais une fatalité. Grâce aux progrès de la dentisterie et à l'efficacité des traitements à l'ozone, il est aujourd'hui possible de soigner ces infections rapidement tout en garantissant une désinfection parfaite.
Ne laissez pas une petite douleur devenir un risque majeur pour votre santé. Consultez régulièrement et demandez conseil sur les bienfaits de l'ozone.
Saviez-vous que l'ozone pouvait aussi être utilisé pour traiter les caries débutantes sans utiliser la roulette ?
Exemple de routine quotidienne pour une hygiène bucco-dentaire impeccable
+
+
Continuer la lecture...
© 2024. All rights reserved.













5. Comment prévenir l'abcès grâce à l'ozone et garder une bouche saine au quotidien ?
La prévention reste votre meilleur bouclier. En complément des gestes classiques, l'ozone offre une protection renforcée.
En cabinet (Prévention active)
Des séances régulières d'ozonothérapie permettent de "stériliser" les poches parodontales avant même que l'infection ne se transforme en abcès. C'est un traitement préventif de choix pour les patients sujets aux gingivites.
À la maison (Hygiène de précision)
Brossage rigoureux : Deux fois par jour avec une brosse douce, respectueuse des gencives et un dentifrice désinfectant à l'ozone.
Fil dentaire et brossettes : Indispensable pour déloger la plaque. Attention aux gencives, privilégiez la douce du jet dentaire à faible pression.
Produits ozonés : L'utilisation du jet dentaire Aquolab pour soigner une infection (sur conseil de votre praticien) permet de maintenir une flore buccale saine et de limiter la prolifération bactérienne et les effets néfastes de certains bains de bouche.