hygiene-precision: distributor of Aquolab products
Difference Aeropolisseur and Ultrasonic Descaling | Dental Guide
Discover the Difference Aeropolisseur and Ultrasonic Descaling. Comprehensive comparison of cleaning techniques: dental aeropolishing vs Ultrasonic descaling.
hygiene-precision.com
2/6/20266 min read


Difference Between Air Polishing and Ultrasonic Descaling: Which Technique Should You Choose for Perfect Oral Hygiene?
Maintaining a healthy mouth inevitably involves professional dental care. Among the most commonly used techniques today for cleaning teeth are ultrasonic dental scaling and dental air polishing. But what is the difference between air polishing and ultrasonic scaling? And above all, which method best suits your needs?
Ultrasonic Dental Scaling
Ultrasonic dental scaling is a classic and widely used technique. It involves removing tartar deposits (also known as dental calculus) that naturally build up on teeth over time. Tartar is a hardened accumulation of dental plaque made up of minerals from saliva, bacteria, and food debris.
How does ultrasonic scaling work?
The dentist or dental hygienist uses an ultrasonic scaler. This device emits rapid sound vibrations that break up tartar deposits without damaging the enamel. A water spray usually accompanies the process to flush away debris and cool the instrument.
Benefits of ultrasonic scaling:
✅ Effective removal of tartar, even below the gumline
✅ Prevention of periodontal diseases: gingivitis, periodontitis, gum recession
✅ Improvement of breath and overall tooth appearance
Scaling is generally recommended once or twice a year, depending on how much tartar you produce.
Dental Air Polishing: Definition
Dental air polishing is a gentler and less invasive method than scaling. It is particularly well suited for routine maintenance and aesthetic dental cleaning.
How does air polishing work?
A dental air polisher projects a combined jet of air, water, and powder (usually sodium bicarbonate or glycine) onto the teeth. This action removes dental plaque, superficial stains (from tobacco, coffee, red wine), and food residues while preserving the enamel.
Benefits of air polishing:
✅ Non-invasive method, ideal for sensitive teeth
✅ Removal of superficial stains and a brighter smile
✅ Ideal preparation before teeth whitening
✅ Comfort and speed: often more pleasant than traditional scaling
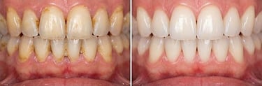
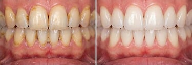
Air Polishing Before and After
Dental air polishing before and after results reveal smoother, brighter, and cleaner teeth, removing superficial stains, plaque, and biofilm. It improves comfort, smile aesthetics, and provides an immediate, long-lasting feeling of freshness that is visibly noticeable.
Difference Between Air Polishing and Ultrasonic Scaling: When Should You Choose One or the Other?
The main difference between air polishing and ultrasonic scaling lies in their purpose and intensity:


Choose According to Your Profile
If you have visible tartar or signs of gingivitis, ultrasonic scaling is essential.
If your teeth are well maintained on a daily basis, air polishing is sufficient to preserve their shine.
The best solution? A combination of both: scaling to remove tartar, followed by air polishing to smooth and enhance the teeth.
Air Polishing and Scaling: Two Complementary Treatments
In many dental clinics, practitioners combine both techniques to provide a complete and optimal cleaning:
Ultrasonic scaling removes stubborn tartar deposits.
Air polishing provides a perfect finish by eliminating stains and smoothing the surface of the teeth.
Preventing Tartar Buildup: Essential Daily Care
Even the best techniques cannot replace good daily oral hygiene. To space out scaling appointments and maintain optimal oral health:
Brush your teeth at least twice a day, preferably with a sonic toothbrush, for the quality of its brushing motion.
Use dental floss or interdental brushes carefully to avoid injuring your gums. For greater gentleness, opt for a low-pressure oral irrigator.
Complete your routine with an ozone water flosser to eliminate bacteria deep down.
Conclusion: Air Polishing vs. Ultrasonic Scaling – A Matter of Need
There is no single answer: the choice between dental air polishing and ultrasonic scaling depends on your oral health condition, your preferences, and the advice of your dentist.
👉 For impeccable oral hygiene, remember to:
Combine scaling and air polishing during your dental visits
Adopt a complete at-home oral care routine
Consult your dental professional regularly
FAQ – Everything You Need to Know About the Difference Between Air Polishing and Ultrasonic Scaling
🔹 Understanding the Difference Between Air Polishing and Ultrasonic Scaling
What is the main difference between air polishing and ultrasonic scaling?
The main difference lies in their purpose and how they work.
Ultrasonic dental scaling is designed to remove hard tartar (calculus), often located below the gum line.
Dental air polishing, on the other hand, is used to gently clean superficial stains and bacterial plaque.
They are complementary treatments and are often used together.
What is the difference between dental air polishing and traditional scaling?
Traditional scaling (manual or ultrasonic) aims to remove mineralized tartar that is firmly attached to the teeth and beneath the gums.
Dental air polishing acts only on superficial deposits: bacterial plaque, biofilm, and food stains.
It does not replace scaling but serves as a finishing and maintenance treatment.
Air polishing or ultrasonic scaling: which cleans teeth better?
Ultrasonic scaling is the most effective method for removing hard tartar and preventing periodontal disease.
Air polishing is better at removing stains and leaves the tooth surface smoother and more aesthetic.
For a complete dental cleaning, both techniques are complementary.
🔹 Choosing Between Air Polishing and Ultrasonic Scaling
Can dental air polishing completely replace scaling?
No.
Air polishing cannot replace ultrasonic scaling because it cannot remove mineralized tartar deposits. It is ideal for regular maintenance and aesthetic cleaning, but if tartar is present, scaling remains essential.
Should you choose air polishing or scaling if you have tartar?
When tartar is present, ultrasonic scaling is mandatory.
Air polishing can then be performed to remove residues, stains, and smooth the tooth surfaces, but it should never be used alone if visible or subgingival tartar is present.
What is the difference between air polishing and ultrasonic scaling for sensitive gums?
Ultrasonic scaling may be slightly uncomfortable if the gums are inflamed.
Air polishing is gentler and often better tolerated by patients with sensitive gums, but it is not sufficient if tartar is present below the gum line.
🔹 Pain and Patient Comfort
Which treatment is more painful?
Ultrasonic scaling can sometimes cause mild discomfort, especially if you have sensitive teeth or gum inflammation.
Air polishing is generally painless and well tolerated. It does not produce vibrations or direct contact with a metal instrument.
Is ultrasonic scaling painful for sensitive teeth?
In patients with dental hypersensitivity, ultrasonic scaling may cause temporary discomfort.
However, the dentist can adjust the ultrasonic power or suggest solutions to improve comfort.
🔹 Prevention and Oral Health
Do these two techniques help prevent gum disease?
Yes.
Ultrasonic scaling plays a direct role by removing tartar, the main cause of gingivitis and periodontitis.
Air polishing complements this preventive action by cleaning tooth surfaces and reducing bacterial load.
Good daily oral hygiene remains essential to prevent recurrence.
Is air polishing useful in preventing periodontitis?
Yes, as a complement to scaling.
Air polishing helps reduce bacterial biofilm, which limits gum inflammation between scaling sessions, especially in at-risk patients.
🔹 Frequency and Dental Maintenance
How often should ultrasonic scaling be performed?
Ultrasonic dental scaling is recommended every 6 to 12 months, depending on tartar buildup, oral hygiene habits, and predisposition to periodontal disease. In cases of periodontitis, more frequent sessions may be necessary.
How often should dental air polishing be done?
Dental air polishing can be performed at each routine check-up, especially for patients with good oral hygiene.
Generally, every 3 to 6 months helps maintain clean, bright teeth while limiting stain buildup.
Can air polishing be done at every scaling appointment?
Yes.
Air polishing is often performed after ultrasonic scaling to optimize cleaning, improve comfort, and prolong the feeling of cleanliness.
🔹 Safety and Risks
Is air polishing harmful to enamel?
No.
When used correctly, dental air polishing is safe for enamel. It uses a fine powder, often based on bicarbonate or glycine, which polishes teeth without excessive abrasion. It is even recommended for patients with sensitive teeth.
Can ultrasonic scaling damage teeth?
No, when performed by a professional.
Ultrasonic scaling is a safe procedure that does not damage enamel or teeth when proper techniques and indications are followed.
🔹 Aesthetics and Teeth Whitening
Does air polishing whiten teeth?
Not in the strict sense.
Air polishing does not chemically whiten teeth, but it removes stains caused by tobacco, coffee, tea, red wine, etc. The result is a visibly brighter smile, and it is often used before teeth whitening to improve effectiveness.
Should scaling be done before teeth whitening?
Yes.
Scaling, often combined with air polishing, is recommended before whitening to ensure even and long-lasting results.
🔹 At-Home Practice and Use
Can air polishing be done at home?
No, not under the same conditions as in a dental office.
There are oral irrigators and electric toothbrushes that help maintain the effects of air polishing, but the professional equipment used in dental practices is not accessible to the general public. For deep cleaning, consulting a professional is recommended.
🔹 Combining Treatments
Can air polishing and ultrasonic scaling be combined?
Absolutely.
This is actually the best approach. Scaling removes hard deposits, then air polishing completes the cleaning by eliminating stains and smoothing tooth surfaces. This combination is ideal for optimal oral hygiene and aesthetics.
Continue reading...
© 2024. All rights reserved.












