hygiene-precision: distributor of Aquolab products
Gingivitis: causes, symptoms and solutions to treat it
Discover the causes of gingivitis, its symptoms and the best solutions to prevent it and treat it effectively on a daily basis. Eliminate the tartar in a natural way.
hygiene-precision.com
2/5/20267 min read


Relieving and Treating Gingivitis Naturally: Understanding, Preventing, and Healing Gum Inflammation
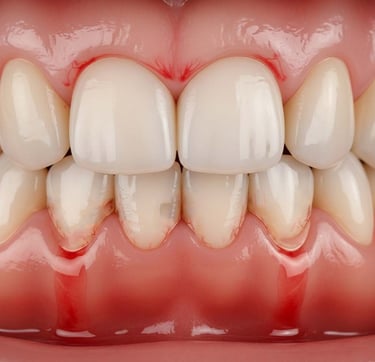
Gingivitis is a common inflammatory condition that affects the gums. Although often mild in its early stages, it should never be ignored. Without treatment, it can progress into a more serious condition: periodontitis. In this article, discover the causes of gingivitis, its symptoms, how to prevent it, treat it effectively, and avoid its consequences.
What Is Gingivitis?
Gingivitis refers to inflammation of the gums, generally caused by the accumulation of dental plaque. This plaque is a sticky layer of bacteria that forms daily on the teeth. Without proper oral hygiene, these bacteria multiply, irritate the gum tissues, and trigger an inflammatory reaction.
When detected early, gingivitis can be easily treated. However, if neglected, it may develop into a more severe periodontal disease that can lead to tooth loss.
Gingivitis: The 5 Main Causes
Understanding the causes of gingivitis is essential for better prevention and treatment. Here are the most common factors:
1. Dental Plaque Buildup
This is the primary cause of gingivitis. Plaque bacteria produce toxins that attack the gums, causing redness, swelling, and bleeding.
2. Poor Oral Hygiene
Irregular or ineffective brushing promotes plaque and tartar buildup, triggering inflammation.
3. Hormonal Changes
Pregnant women, as well as those during menstruation or menopause, are more exposed due to increased gum sensitivity to hormonal fluctuations.
4. Certain Medications
Treatments such as anticonvulsants, immunosuppressants, or oral contraceptives can alter the gum response to bacteria.
5. Systemic Diseases
Conditions such as diabetes, HIV, or certain autoimmune diseases make gums more vulnerable to infections.
What Are the Symptoms of Gingivitis?
Recognizing the signs of gingivitis early allows for prompt action. Here are the most common symptoms:
Swollen and Painful Gums
Swollen and painful gums are a frequent symptom of gingivitis. They become red, sensitive, and may bleed during brushing. This inflammation is often caused by plaque buildup and requires good oral hygiene.
Bleeding During Brushing or Flossing
Bleeding when brushing or flossing is a common sign of gingivitis. Inflamed gums become sensitive and fragile. Gentle, regular, and appropriate oral hygiene, combined with proper care, helps reduce inflammation and progressively limit bleeding effectively and sustainably.
Persistent Bad Breath
Persistent bad breath is common in cases of gingivitis. Gum inflammation promotes the accumulation of odor-causing bacteria. Bleeding, redness, and plaque worsen the problem. Rigorous oral hygiene and dental follow-up are essential to limit infection and sustainably improve breath on a daily basis.
Gum Sensitivity to Touch or Cold
Gingivitis causes gum inflammation, making them sensitive to touch and cold. This sensitivity appears during brushing, chewing, or drinking cold beverages. It results from irritation, swelling, and slight gum recession. Early care helps reduce pain.
Gingivitis: Effective Natural Treatment
To treat gingivitis, it is essential to combine professional treatment with good daily hygiene. Here are the key steps:
1. Professional Scaling and Dental Care
The dentist performs a thorough cleaning to remove accumulated plaque and tartar. This step is fundamental to stopping inflammation.
2. Gingivitis Treatment: Ozonated Toothpaste and Sonic Toothbrush
Brush your teeth twice a day
with an antibacterial, ozonated toothpaste.
Choose a sonic toothbrush
for the quality of its movements.
3. Natural Anti-Inflammatory Gingivitis Treatment: Aquolab Dental Water Flosser
Daily use of an ozone dental water flosser,
such as the one offered by Aquolab,
to remove plaque in hard-to-reach areas.Tongue cleaning to limit bacterial proliferation
Use of antiseptic mouthwashes, if recommended by the dentist
4. Complementary Treatments
In some cases, the practitioner may prescribe antibiotics, gingival gels, or antiseptic rinses to help control infection.
5. How Long Does Gingivitis Last?
Gingivitis generally lasts from a few days to 2–3 weeks if treated promptly.
With good oral hygiene (gentle brushing, ozone toothpaste, ozonated dental jet), inflammation can disappear within 7 to 10 days.
Without care, it may persist and progress into periodontitis, a more serious condition.
4 Steps to Prevent Gingivitis
Prevention remains the best treatment. Here are good habits to adopt to avoid gingivitis:
Rigorous oral hygiene: Brush your teeth after each meal, use a sonic toothbrush and a daily dental water flosser.
Regular dental check-ups: A check-up every 6 months allows early detection of inflammation signs.
Balanced diet: Avoid sugars, favor fruits, vegetables, and foods rich in vitamins (especially vitamin C).
Quit smoking: Smoking weakens gums and worsens inflammation.
The Dangers of Untreated Gingivitis
Ignoring gingivitis can have serious consequences. Without treatment, inflammation can progress into periodontitis, a chronic disease that destroys the bone supporting the teeth. This can lead to:
Gum recession
Tooth mobility
Tooth loss
Chronic infections
Recommended Products to Treat Gingivitis
The website hygiene-precision.com offers an Aquolab care kit specifically designed to treat gingivitis and prevent periodontitis. This kit includes:
An ozone dental water flosser for interdental cleaning
Toothbrushing accessories
Gum-friendly hygiene products based on ozone
Conclusion: Don’t Let Gingivitis Set In
Gingivitis is a warning sign from your body. Early management allows effective treatment and prevents irreversible complications. By adopting good oral hygiene and visiting your dentist regularly, you can maintain healthy gums and a bright smile.
👉 Don’t wait for the first symptoms. Prevent and treat gingivitis today!
Complete FAQ on Gingivitis
🔹 Understanding Gingivitis
What is gingivitis and how can you recognize it?
Gingivitis is an inflammation of the gums caused by the buildup of dental plaque. It appears as red, tender gums that bleed during brushing. Identifying early-stage gingivitis makes it possible to treat it quickly before it progresses into periodontitis.
What are the early symptoms of gingivitis in adults?
Early signs include slight bleeding during brushing, persistent bad breath, swollen gums, and increased sensitivity. Mild gingivitis can go unnoticed if oral hygiene is not thorough.
How can you tell if gingivitis is early-stage or advanced?
Early gingivitis mainly presents with occasional bleeding and mild inflammation. More advanced gingivitis causes pain, significant gum swelling, and persistent bad breath. Without treatment, it can progress to periodontitis.
What is the difference between gingivitis and periodontitis?
Gingivitis is reversible if treated promptly, whereas periodontitis attacks the tissues supporting the teeth and can lead to tooth loosening. Gingivitis is therefore the first stage of periodontal disease.
Can gingivitis go away on its own?
In rare cases, improved oral hygiene can reduce symptoms. However, without complete removal of plaque and tartar, gingivitis persists and worsens over time.
🔹 Causes, Risks, and At-Risk Populations
Is gingivitis contagious between partners?
Yes, partially. The bacteria responsible for gingivitis can be transmitted through saliva, especially during kissing. However, transmission also depends on each person’s immune system and oral hygiene.
Why do smokers get gingivitis more often?
Smoking reduces blood circulation in the gums, weakens the immune system, and masks signs of inflammation. This promotes the development of chronic gingivitis.
What is the link between diabetes and gingivitis?
Poorly controlled diabetes increases sugar levels in saliva, encouraging bacterial growth. People with diabetes must therefore be extra vigilant to prevent gingivitis and periodontitis.
Is gingivitis during pregnancy dangerous for the baby?
Yes, untreated gingivitis can increase the risk of premature birth. Enhanced oral hygiene and regular dental check-ups are recommended during pregnancy.
Can stress cause gingivitis?
Yes, chronic stress weakens the immune system and promotes inflammation. It can indirectly increase the risk of gingivitis by disrupting the body’s natural defenses against oral bacteria.
🔹 Treatments and Care
How can you treat gingivitis quickly at home?
Gentle brushing two to three times a day, using an antiseptic mouthwash, and a dental irrigator are essential. Natural remedies such as tea tree essential oil or saltwater rinses may also help reduce inflammation.
What are the best natural treatments for gingivitis without antibiotics?
Coconut oil, clove, aloe vera, and chamomile are known for their antibacterial and soothing properties. These natural remedies can complement, but not replace, professional treatment.
How can you treat gingivitis without going to the dentist?
Impeccable oral hygiene, antibacterial mouthwashes, and complete plaque removal can improve the condition. However, professional scaling is often essential.
How long does it take to heal mild gingivitis?
With good oral hygiene, gingivitis can disappear within 7 to 14 days. If symptoms persist beyond two weeks, a dental consultation is necessary.
What should you do after scaling to prevent gingivitis?
Use a soft-bristled toothbrush, avoid hard foods for 24 hours, and rinse with a mild antiseptic mouthwash. Scaling is essential to remove plaque responsible for gingivitis.
🔹 Toothpastes, Toothbrushes, and Solutions
What is the best toothpaste for gingivitis and sensitive gums?
Toothpastes containing ozone, olive oil, and plant extracts, such as Ozonic by Aquolab, are particularly effective in strengthening gums and reducing bleeding.
Which toothbrush should you use to prevent gingivitis?
A soft-bristled toothbrush or a sonic electric toothbrush is recommended. Electric models like Sonique by Aquolab provide excellent results for sensitive gums.
Which products are effective against gingivitis?
Ozone-based toothpastes and antibacterial ozone dental irrigators are effective. Complete gingivitis treatment kits, such as those from Aquolab, can be a helpful supplementary solution.
Is mouthwash essential for gingivitis?
Mouthwash is not mandatory but strongly recommended. It helps reduce bacterial load, soothes inflammation, and effectively complements daily brushing.
🔹 Oral Hygiene and Diet
How can you prevent gingivitis on a daily basis?
Thorough brushing after each meal, flossing, and an annual dental check-up are enough to prevent gingivitis. Diet also plays a role: avoid sugar and favor foods rich in vitamin C.
What foods should you eat if you have gingivitis?
Vitamin C-rich fruits (kiwi, oranges, strawberries) and crunchy vegetables like carrots stimulate blood circulation in the gums. Avoid sugar and alcohol, which worsen inflammation.
Which foods should be strictly avoided with gingivitis?
Sodas, sweets, sticky foods, and alcohol promote bacterial growth and slow the healing of inflamed gums.
🔹 Children and Special Situations
How can gingivitis in children be recognized and treated?
Red, swollen, bleeding gums are the first signs. Encourage regular brushing and consult a pediatric dentist as soon as symptoms appear.
Is gingivitis in children serious?
It is generally mild if treated promptly. However, neglected gingivitis can disrupt long-term oral and dental development.
Continue reading...
© 2024. All rights reserved.














