distRibuteur exclusif des produits Aquolab en france, DOM-COM, belgique et suisse.
Causes de la sensibilité des gencives : 7 raisons et solutions efficaces
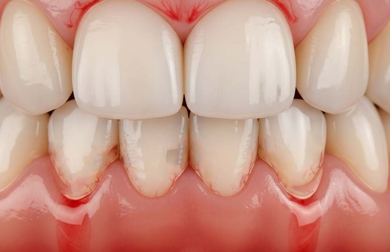
Découvrez les principales causes de la sensibilité des gencives et comment soigner les gencives sensibles avec des soins naturels comme le jet dentaire à l’ozone.
hygiene-precision.com
10/15/20255 min lire


Causes de la sensibilité des gencives : comprendre et soigner efficacement
La sensibilité des gencives est un problème bucco-dentaire fréquent, qui peut provoquer douleurs, inconfort et même altérer la qualité de vie. Connaître les causes de la sensibilité des gencives permet de mieux la prévenir et de la traiter. Cette affection se manifeste souvent par des douleurs lors du brossage, au contact d'aliments chauds, froids ou sucrés, et parfois par des saignements.
Dans cet article, nous explorons en détail les 7 principales causes de la sensibilité des gencives, les symptômes à surveiller, les méthodes pour soigner les gencives sensibles, ainsi qu’un focus sur une solution innovante : le soin à l’ozone pour gencives.
🦷 Quelles sont les 7 principales causes de la sensibilité des gencives ?
Gingivite
Première cause fréquente, la gingivite est une inflammation des gencives due à une accumulation de plaque dentaire. Elle provoque rougeurs, gonflements et saignements.Parodontite
Lorsque la gingivite n’est pas traitée, elle peut évoluer en parodontite, une maladie plus grave qui détruit les tissus de soutien de la dent (gencives, os, ligament).Récession gingivale
Un recul des gencives expose les racines dentaires, ce qui les rend plus sensibles aux agressions extérieures (chaleur, froid, sucreries...).Brossage trop vigoureux
Un brossage trop fort ou avec une brosse à poils durs peut irriter et abîmer les gencives.Dentifrice abrasif
Certains dentifrices blanchissants ou mal adaptés peuvent contenir des agents abrasifs, agressifs pour l’émail et les tissus gingivaux.Maladies générales (diabète, maladies auto-immunes...)
Certaines pathologies comme le diabète affectent la santé bucco-dentaire et augmentent la sensibilité des gencives.Bains de bouche agressifs
Les bains de bouche contenant de l’alcool ou des agents chimiques puissants peuvent irriter la muqueuse gingivale.
🔍 Quels sont les symptômes typiques de gencives sensibles ?
Si vous souffrez de gencives sensibles, vous pourriez observer :
Saignements lors du brossage ou de l’utilisation du fil dentaire
Rougeurs et gonflements
Douleurs à la mastication
Sensibilité au chaud, au froid ou au sucré
Mauvaise haleine persistante
💡 Comment soigner les gencives sensibles ?
Voici des méthodes efficaces pour soigner les gencives sensibles naturellement ou avec l'aide de soins ciblés :
Adopter une bonne hygiène bucco-dentaire
Brossez-vous les dents avec une brosse à poils souples de préférence sonique et un dentifrice spécifique pour gencives sensibles comme Ozonic à l'ozone. Utilisez un jet dentaire à l’ozone pour compléter le nettoyage et une parfaite désinfection.Utiliser un dentifrice spécial gencives sensibles
Ces dentifrices contiennent des agents apaisants comme l'ozone et aident à réduire l'inflammation et la douleur.Faire des soins réguliers chez le dentiste
Un détartrage professionnel permet de retirer la plaque dentaire et le tartre, principales causes d’inflammation gingivale.Limiter les aliments irritants
Réduisez la consommation d’aliments acides, sucrés, trop chauds ou épicés qui peuvent irriter les gencives.Arrêter le tabac
Le tabagisme diminue l’oxygénation des tissus et aggrave les maladies gingivales.Essayer le soin à l’ozone pour gencives
Ce soin innovant est particulièrement recommandé pour les gencives sensibles.
🌿 Aquolab à l'ozone : Le jet dentaire pour gencives sensibles, une solution naturelle et efficace
Le soin à l’ozone pour gencives est une méthode de plus en plus utilisée en cabinet dentaire ou à domicile avec un jet dentaire adapté. L’ozone agit comme un puissant agent antibactérien, tout en favorisant l’oxygénation des tissus gingivaux.
Avantages du soin ozone pour gencives :
Élimination naturelle des bactéries responsables de la gingivite
Réduction des saignements et de l’inflammation
Amélioration de la microcirculation dans les gencives
Prévention de la parodontite
👉 Il est recommandé d'utiliser un jet dentaire à faible pression, comme le modèle Aquolab, pour ne pas endommager les tissus sensibles.
✅ Conclusion : prendre soin de ses gencives au quotidien
La sensibilité des gencives ne doit pas être ignorée. En identifiant les causes, en adoptant une hygiène adaptée, et en utilisant des solutions innovantes comme le soin ozone pour gencives, il est tout à fait possible de soigner les gencives sensibles durablement.
Pour un diagnostic précis et des soins personnalisés, n’hésitez pas à consulter votre chirurgien-dentiste.
FAQ – Sensibilité des gencives : causes, traitements et prévention
🦷 1. Quelles sont les principales causes de la sensibilité des gencives ?
Les principales causes incluent :
la gingivite,
la parodontite,
la récession gingivale,
un brossage trop vigoureux,
l’usage de dentifrices abrasifs,
certaines maladies comme le diabète,
et les bains de bouche agressifs.
🔍 2. Comment reconnaître des gencives sensibles ?
Les signes courants sont :
des saignements lors du brossage ou du passage du fil dentaire,
des douleurs à la mastication,
des gencives rouges ou enflées,
une mauvaise haleine persistante,
une sensibilité au chaud, au froid ou au sucre.
🏠 3. Comment soigner les gencives sensibles à la maison ?
Il est recommandé :
d’utiliser une brosse à dents souple et de préférence sonique pour la douceur et la qualité de son mouvement vibratoire de haut en bas,
d’éviter les aliments acides, très chauds ou épicés,
et de maintenir une bonne hygiène bucco-dentaire.
🌿 4. Est-ce que le soin à l’ozone est efficace pour les gencives sensibles ?
Oui. Le soin à l’ozone aide à désinfecter les gencives, réduire l’inflammation, améliorer l’oxygénation des tissus, et prévenir les maladies comme la parodontite.
💧 5. Quel jet dentaire pour gencives sensibles choisir ?
Choisissez un modèle à faible pression et enrichi à l'ozone comme Aquolab, adapté aux tissus fragiles. Il nettoie efficacement tout en diffusant de l’ozone pour ses bienfaits antibactériens.
👨⚕️ 6. Faut-il consulter un dentiste pour des gencives sensibles ?
Oui. Un dentiste peut établir un diagnostic précis, proposer un traitement personnalisé et effectuer un nettoyage professionnel si nécessaire.
🚭 7. Le tabac peut-il aggraver la sensibilité des gencives ?
Oui. Le tabac favorise l’inflammation, réduit l’oxygénation des tissus et accélère la progression des maladies parodontales.
✅ 8. Comment prévenir la sensibilité des gencives ?
Brossez-vous les dents deux fois par jour avec une brosse souple et sonique 🪥
Utilisez un dentifrice adapté 🧴
Évitez les produits ou aliments irritants 🚫
Faites des visites régulières chez le dentiste 🗓️
Et utilisez un jet dentaire à l’ozone 💧 pour une prévention naturelle et efficace.
Exemple de routine quotidienne pour une hygiène bucco-dentaire impeccable
+
+
Continuez la lecture...
© 2024. All rights reserved.












