hygiene-precision: distributor of Aquolab products
Dental abscess: Natural ozone care
Discover how to treat a painless dental abscess thanks to natural ozone care and avoid oral complications.
hygiene-precision.com
2/12/20266 min read


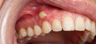
Dental Abscess: What to Do? Symptoms, Causes and Natural Ozone Treatments to Relieve Pain
A dental abscess is a serious oral infection that can cause intense pain and, if not treated promptly, lead to severe complications. In this article, we explain how to recognize a dental abscess, its causes and symptoms, as well as natural solutions particularly ozone-based treatments to relieve discomfort and support healing.
Dental Abscess: Definition
A dental abscess is a bacterial infection that forms around a tooth, in the gum, or at the root of a tooth. This infection leads to a buildup of pus, painful swelling, and may sometimes be accompanied by fever.
There are three main types of dental abscesses:
Gingival abscess: located in the gum tissue.
Periapical abscess: located at the root of the tooth, often linked to deep tooth decay.
Periodontal abscess: caused by gum disease (periodontitis).
Dental Abscess: Main Causes
A dental abscess can have several origins, but the most common include:
Untreated tooth decay: Bacteria penetrate the tooth and reach the dental pulp.
Periodontal disease: A gum infection can worsen and form an abscess.
Dental trauma: A crack or injury allows bacteria to enter the tooth.
Dental Abscess: Symptoms to Watch For
The signs of a dental abscess vary from case to case, but the most frequent symptoms are:
Intense, throbbing pain, worsened by chewing or exposure to heat or cold.
Swelling of the gum or face.
Unpleasant taste in the mouth due to pus drainage.
Persistent bad breath.
Fever and fatigue in more advanced cases.
⚠️ Important: A dental abscess never goes away on its own. You must consult a dentist quickly to avoid complications.
How to Treat a Dental Abscess Without Pain?
Conventional treatment at the dentist typically includes:
Drainage of the abscess to remove pus.
Root canal cleaning if the infection has reached the dental pulp.
Antibiotics to eliminate bacteria.
Tooth extraction as a last resort.
Dental Abscess: Natural Ozone Treatment
In addition to professional dental care, natural ozone-based treatments can provide deep disinfection and stimulate gum tissue, promoting faster healing while reducing pain.
Ozone dental irrigator (e.g., Aquolab): effectively removes bacteria between teeth.
Ozonated toothpaste (such as Ozonic): helps reduce inflammation and prevent recurrence.
Ozone mouthwash: soothes the infected area and accelerates healing.
These natural methods may help relieve a dental abscess with less discomfort or reduce pain before seeing a dentist.
How Long Does a Dental Abscess Last?
A dental abscess usually does not disappear on its own. With proper treatment, such as drainage and antibiotics, improvement can be seen within 48 to 72 hours. However, complete healing depends on the severity of the infection and the treatment performed.
Dental Abscess Complications if Left Untreated
An untreated dental abscess can cause:
Loss of the infected tooth.
Spread of the infection to other areas of the mouth, face, or neck.
Ludwig’s angina, a serious infection that can be life-threatening.
Recurrent Dental Abscess
A dental abscess may recur when the bacterial infection has not been completely eliminated or when the underlying cause such as deep decay or an infected root remains untreated. Without proper care, inflammation returns, causing pain, swelling, and sometimes fever.
How to Prevent a Dental Infection?
Prevention relies on good oral hygiene:
Brush your teeth twice a day, ideally with a sonic toothbrush and ozonated or fluoride toothpaste.
Use an ozone dental irrigator to gently remove bacteria without risking gum damage, unlike traditional floss in some cases.
Visit your dentist regularly to detect infections at an early stage.
✅ Conclusion
A dental abscess is a medical emergency that requires prompt treatment. Alongside conventional dental care, natural ozone treatments offer an innovative solution to disinfect, relieve pain, and help prevent recurrence.
Never allow an abscess to progress without medical advice: early diagnosis can prevent serious complications.
FAQ – Dental Abscess and Natural Ozone Care
🔹 Understanding a Dental Abscess
What is a dental abscess?
A dental abscess is a bacterial infection that causes a buildup of pus around a tooth or the gum. It typically results in severe pain, swelling, and sometimes fever.
What are the symptoms of a dental abscess?
The most common signs include:
Throbbing, pulsating pain
Swelling of the gums or face
Unpleasant taste in the mouth
Sensitivity to hot and cold
Fever in severe cases
How can you recognize an early-stage dental abscess?
An early dental abscess may present as mild pain when chewing, unusual sensitivity to hot or cold, and a small swelling on the gum. Prompt consultation with a dentist helps prevent worsening of the condition.
What is the difference between a dental abscess and a gum infection?
A dental abscess usually affects the root or pulp of the tooth, often following a deep cavity. A gum infection, called a periodontal abscess, affects the supporting tissues of the tooth. Both require professional dental advice.
Can a dental abscess go away on its own?
No. Even if the pain temporarily decreases, the infection remains. Without treatment, it can spread to nearby tissues and cause more serious complications.
How long does a dental abscess last without treatment?
An untreated dental abscess can worsen within a few days. In some cases, the pain may seem to decrease if the abscess ruptures, but the infection remains active.
🔹 Relieving and Treating a Dental Abscess
How can you treat a dental abscess without pain?
Professional dental treatment is essential, but certain measures can help relieve discomfort:
Taking a pain reliever while waiting for your appointment
Applying a cold compress to reduce inflammation
Using natural ozone-based care to disinfect the area and gently support healing
Which natural ozone treatments are effective against a dental abscess?
Ozone is a powerful disinfectant used in dentistry to:
Perform ozone mouth rinses
Use ozonated toothpaste to soothe the gums
Clean interdental spaces with an ozone water flosser, which removes bacteria deeply
How can you quickly relieve a dental abscess while waiting for the dentist?
To relieve a dental abscess quickly, apply a cold compress to the cheek, avoid chewing on the painful side, and maintain strict oral hygiene. Ozone mouth rinses may help limit bacterial growth.
Which antibiotic is used for a dental abscess?
Only a healthcare professional can prescribe the appropriate antibiotic for a dental abscess. Antibiotics do not replace local treatment (such as drainage or tooth treatment), but they may be necessary if the infection has spread.
How can you naturally drain a dental abscess?
It is not recommended to attempt draining a dental abscess yourself. Manipulating the area may worsen the infection. Only a dentist can safely perform drainage.
Is mouthwash effective against a dental abscess?
A mouthwash, particularly ozone-based, may help reduce bacterial load and soothe inflammation. However, it does not replace professional dental treatment.
🔹 Ozone-Specific Solutions
Can ozone care replace dental treatment?
No. Ozone care can be a helpful complement to reduce bacteria and promote healing, but it does not replace a dental procedure such as drainage or root canal treatment.
Is an ozone water flosser useful in case of a dental abscess?
An ozone water flosser may help clean interdental spaces and limit bacterial growth around the infected area. It should be used in addition to the treatment prescribed by a dentist.
Does ozonated toothpaste help prevent dental infections?
Ozonated toothpaste may help maintain a balanced oral flora and reduce bacterial overgrowth, contributing to infection prevention.
🔹 Preventing a Dental Abscess
Can you treat a dental abscess at home?
No. Home remedies may temporarily relieve pain, but only a dentist can definitively treat the infection. Ozone care may help limit bacterial spread while waiting for your appointment.
How can you prevent a dental abscess?
Brush your teeth twice a day with ozonated or fluoride toothpaste
Use an ozone water flosser
Visit your dentist regularly to prevent infections
How can you avoid a dental abscess after a cavity?
Prompt treatment of cavities is essential to prevent them from reaching the dental pulp. Good oral hygiene and regular dental check-ups greatly reduce the risk of complications.
Why can an untreated cavity cause a dental abscess?
A deep cavity allows bacteria to reach the dental pulp. The infection then spreads to the root, leading to pus accumulation and abscess formation.
What are the risk factors for a dental abscess?
Poor oral hygiene, untreated cavities, gum disease, dental trauma, or a weakened immune system increase the risk of developing a dental abscess.
Continue reading...
© 2024. All rights reserved.












